Professor Jean Calleja-Agius, Head of Department of Anatomy at the Faculty of Medicine and Surgery, has recently published a landmark paper in collaboration with another 28 co-authors hailing from 14 different countries, as part of the GYNOCARE COST Action (CA18117). GYNOCARE is a European Network for Gynaecological Rare Cancer research: From Concept to Cure (https://www.cost.eu/actions/CA18117/#tabs|Name:overview).
The paper by Di Fiore, R et al. is entitled ‘GYNOCARE Update: Modern Strategies to Improve Diagnosis and Treatment of Rare Gynaecologic Tumours—Current Challenges and Future Directions’ was published in Cancers on 27 January 2021.
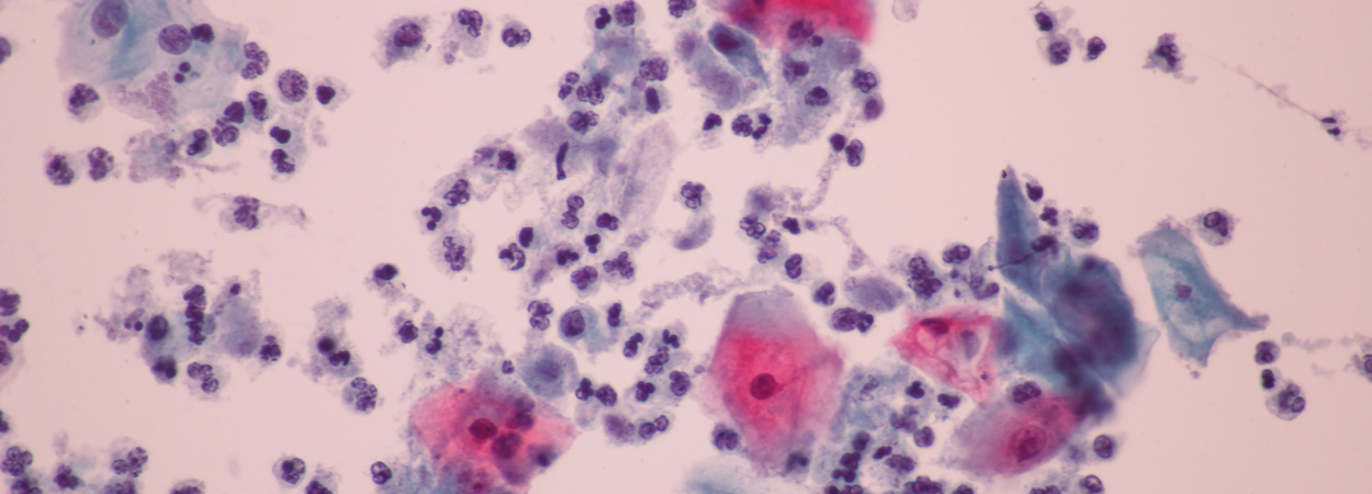
Approximately 18.5 million women annually are affected by gynaecological cancer, with more than half being classified as rare cancers. Delayed diagnosis of patients suffering from rare gynaecological cancers leads to poor outcomes and contributes to a huge socio-economic burden. This field is lagging behind due to distinct scientific and technological challenges that gynaecological cancer research faces. Currently, the overall efforts for addressing these challenges are fragmented across different European countries and beyond.
GYNOCARE aims to create a unique network between key stakeholders covering these distinct domains: conducting basic research on rare gynaecological cancer, biobanking, bridging the gap with the pharmaceutical industry, and establishing legal and regulatory requirements for international trials and other research collaborative efforts. A concrete disease-focused strategy is the only way to improve the prognosis of patients with rare gynaecological cancers.
To achieve this ambitious goal, research coordination and capacity building objectives have been devised in accordance with mission and vision of the COST Action, including the provision of equal networking opportunities for early-stage researchers, and other talented young professionals.
In fact, as part of this COST Action, a working group meeting on Biobanking has been held online on Tuesday 23 February 2021. The 32 attendees from 12 countries were in attendance. The presentations included: ‘Setting up a biobank specific to rare gynae cancers’ by Prof Dr James P Beirne, Department of Gynaecological Oncology, Trinity St. James Cancer Institute, St. James’ Hospital, Dublin, Ireland; followed by a session on the BBMRI-ERIC, delivered by Prof Alex Felice from the Biobank at University of Malta, & Malta BioBank.
The next working group meeting is scheduled for 30 March 2021. Anyone wishing to join, please contact the Action Chair via email for more information.
